- 本人または親族に、脳卒中や心筋梗塞などの病歴がある方
- 高血圧症、糖尿病などの生活習慣病をおもちの方
- 飲酒、喫煙の習慣がある方
- 気になる症状(頭痛など)がある方
- 頭を接触させる頻度の高いスポーツをしている方
頭痛が多い、物忘れをしやすい、手足がしびれる、話すのが不自由、ものが二重に見えるといった症状が頻繁に見られる場合は、念のため詳しい検査をご検討ください。これらの症状は、脳や神経系に何らかの異常を知らせるサインの可能性があるため、早期の検査と専門医へのご相談をおすすめします。
脳ドック(脳検診)|新宿三丁目の脳ドック・乳がん検診 Seeds Clinic新宿三丁目

脳ドックは、脳卒中や脳腫瘍といった脳の病気を見つけるために行なわれ、主に脳卒中の早期発見に用いられる検査です。
脳卒中は脳の血管が詰まる状態(脳梗塞)と脳の血管が破れる状態(くも膜下出血など)があります。
日本人の死亡原因の3位、死亡者数は年間約13万人にものぼります。ある日突然発症し、それまで全く自覚症状がないことの多い病気です。発症すると命に関わり、治療が遅れると回復しても後遺症が残ってしまうおそれもあります。
早期発見・治療がより重要な病気ですので、定期的な検査を受けるようにしましょう。

脳卒中や脳腫瘍といった脳疾患を発症後、発見が遅れたり処置が遅れたりすると命にかかわることや後遺症が残ってしまう危険性があります。こういったリスクを少しでも減らすべく、脳ドックでの定期検診で脳腫瘍がないか、血管が詰まっていないかチェックしていく必要があります。脳疾患を未然に防ぎ、早期発見・治療ができれば、将来的な心身・経済的な負担の軽減につながります。

脳ドックでは、さまざまな脳疾患の早期発見のために行なわれます。脳梗塞やくも膜下出血・脳出血といった急性疾患の兆候はないか、血管が狭くなったり詰まったりしている部分はないか確認します。また、アルツハイマー型認知症の原因となる脳萎縮や認知機能、脳腫瘍まで幅広く見つけることができます。脳疾患は今後の生活にも大きく影響を及ぼすため、早期発見・治療が重要です。
頭痛が多い、物忘れをしやすい、手足がしびれる、話すのが不自由、ものが二重に見えるといった症状が頻繁に見られる場合は、念のため詳しい検査をご検討ください。これらの症状は、脳や神経系に何らかの異常を知らせるサインの可能性があるため、早期の検査と専門医へのご相談をおすすめします。

生活習慣と認知機能は関わりがあるといわれています。日々の習慣を整えて、脳にも良い生活を送りましょう。
日常生活で気になることがある方は、脳ドックなどの頭の検査または医師へ相談してみましょう。 ※このチェックは認知症などの疾患・病状を診断するものではありません。
脳疾患を発症する方は50〜60代から増え始め、70代でピークを迎えます。早期発見・治療につなげるため30代になったら脳ドックを受けることを推奨しています。若い方でも、脳ドックで異常がみつかることもあります。
異常所見がみつからなければ、2~3年に一度の受診をおすすめしています。定期的な脳ドックで脳疾患を予防しましょう。
3.0T MRIは、従来の1.5T MRIに比べ高い磁場で撮影しているため、データ信号が高く、より鮮明な画像を描出(びょうしゅつ)できます。
高精細な画像により、小さな病変も判別可能となり早期発見に有用です。頭部の検査では、特に血管の描出に優れ、小さな動脈瘤や走行異常など血管病変の診断能力が向上します。
造影剤を使用することなく、X線の被ばくもありませんので、検査中の体への負担を軽減できます。
Seeds Clinic新宿三丁目の3.0T MRIは従来よりも画質向上が可能なデジタルコイルを搭載しています。デジタルコイルとは、信号をデジタル化して伝送するコイルのことです。3.0T MRIはコイル内で信号変換をすべて行なうため、ノイズ混入のない高精細な画像の描出を可能にします。
さらに、新しい高速撮影技術であるCS(圧縮センシング)というソフトウェアも導入しました。CSとは、少数のサンプリングデータから画像に必要な基データを推定し画像を再構成する技術です。
これらの技術の集結で撮影時間の短縮化と画像の高精細化という、相反する要素の共存を可能にしています。

高い磁場による撮影で、従来の1.5T MRIと比べて約2倍の画質で描出できます。鮮明で高精細な画像は、末梢血管まできれいに映し出すほか、撮影によるノイズも少なく病変との違いが判断しやすい特長があります。小さく見つけにくい脳動脈瘤・脳腫瘍や脳梗塞などの病変の検出に役立ち、正確な判断もしやすくなります。

CS(圧縮センシング)というソフトウェアを導入することで、高速撮影を可能にし、撮影にかかる時間の短縮が見込めます。これにより脳ドックにかかる時間を短縮しながら、精度の高い検査を可能にします。また、脳血管の病変以外に脳機能検査もできて、認知機能の低下がないか、認知症リスクをチェックできます。

MRI検査ではX線を使用せず、電波と磁石によってうまれる磁場を利用して撮影します。そのため、X線による被ばくの心配はありません。また、造影剤を使わなくても血管の描出が精細にできるため、アレルギーなどをおもちの方も安心して検査を受けられます。体への負担を軽減しながら、高度な検査で小さな病変も検出できます。
3.0T MRIの方が末梢の細い血管まで鮮明に描出されているのがわかります。


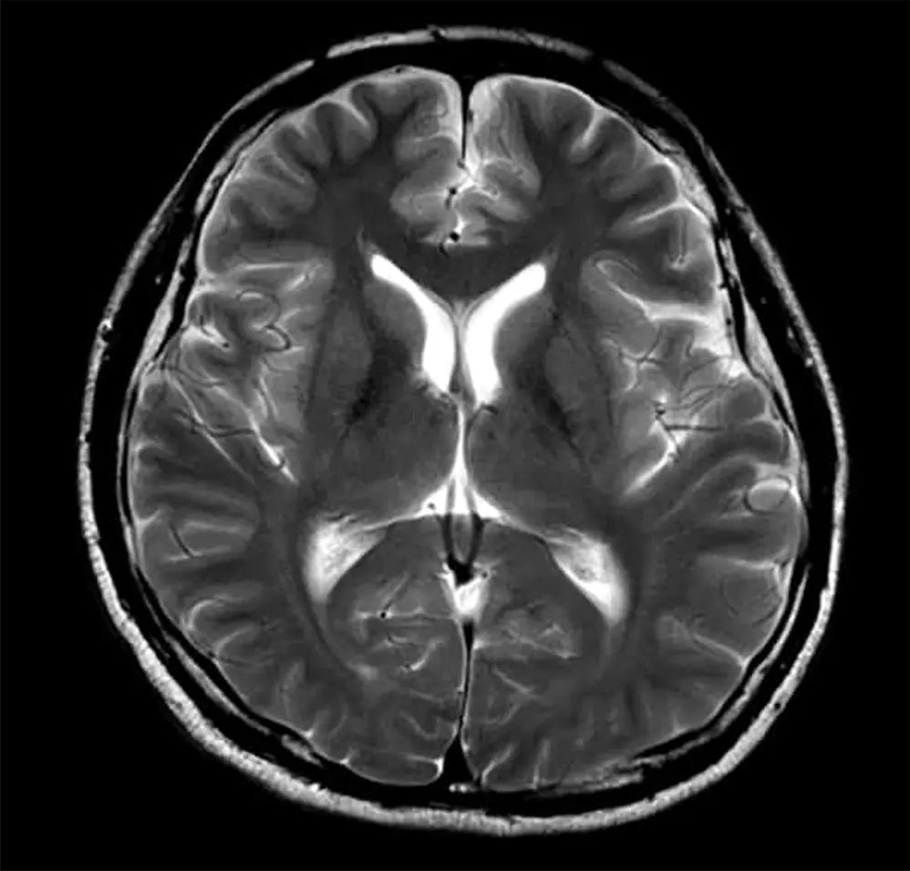
T2強調画像は、水を白く強調するMRIの基本的な撮影方法です。髄液など水成分の多い部位は明るく(白く)映し出されます。
病変部、例えば脳梗塞や脳腫瘍では、組織の障害や浮腫(むくみ)によって水分量が増加するため、その部位が白く描出されます。水や液体成分(髄液、病変部)は白く、脂肪は黒く見えるため、両者を比較することで組織の状態や病変の特徴を総合的に診断できます。解剖学的な構造の評価や病変の検出に広く用いられ、特に脳梗塞では発症時期の推定にも役立ちます。
従来の検査では、海馬のみの体積を測定していたのに対して、新たなコースは全脳の萎縮度や白質病変の体積を測定することで、脳の健康状態をより立体的に把握でき、ご自身の脳の『将来のリスク』に備えることができます。
認知症の大きな特徴である脳全体の委縮の兆候を未病の段階から精密に捉えることができます。
3万件の日本人健常者の脳MRIデータから同年代比較でき、ご自身の脳年齢を知ることができます。
アルツハイマー型認知症だけではなく、様々なタイプの認知症の予兆を捉えることができます。
脳血管のダメージに伴う脳梗塞や血管性認知症の兆候である白質病変体積の変化を未病の段階から微細な兆候を捉えることができます。
| AI脳萎縮検査 | 脳健康度AI解析 | |
|---|---|---|
| 主な解析対象 | 「海馬」 | 「脳全体」+「脳血管健康度」 |
| 検査の目的 | MRIで詳細な画像を追加撮影し、アルツハイマー型認知症の特徴である海馬の大きさをAI測定。 | 脳ドックなどで撮影したMRI画像から、未病の段階から総合的に脳の健康状態をAI測定・可視化。 |
| 測定項目 | 海馬の大きさ
| 全脳の萎縮状態
|
| 将来のリスク | アルツハイマー型認知症 | 様々なタイプの認知症 脳梗塞 |
私たちの脳は30歳を過ぎると徐々に変化していきます。この変化は遺伝や体質にもよりますが飲酒、喫煙、肥満、睡眠といった生活習慣に大きく影響されることが知られています。
この変化の指標として脳の萎縮と脳に現れる白い斑点の2つを数値で評価します。


この2つの脳の画像は同じ50代の人のものです。上の脳画像は、中心にある暗いエリア(脳室という空洞部)が拡大しており、脳の萎縮が進んでいます。脳の萎縮は脳の機能低下や将来の認知症発症のリスク因子と知られています。60歳を過ぎても30代並みの若々しい脳を保っている方の例も多くあり、加齢による萎縮の進み方は人によって大きく異なります。


上の脳画像には白い斑点のようなエリアがあります。
これは白質病変と呼ばれ、脳の血管の健康度の目安になると考えられます。加齢とともに現れる変化ですが、急速な増加は、将来の認知症や脳梗塞のリスク因子と知られています。
自分の脳がどのような状態にあるのかを知るのは、脳の健康管理の最初のステップです。健診の血液検査のように、 脳の健康状態の推移を数値をもってモニタリングできるようになります。

MRI検査を安全かつ正確に行なうため、以下の点にご協力をお願いいたします。
まず、心臓ペースメーカーをご使用の方、妊娠中(もしくはその可能性のある)の方は、安全上の理由から検査をお受けいただけません。また、脳動脈瘤クリップの一部には、MRI検査ができない種類がございますので、該当する方は必ず事前にスタッフにご確認ください。
検査中は強力な磁場を使用するため、カラーコンタクト、補聴器、入れ歯、ウィッグなどの外せる装飾品や器具はすべて取り外していただきます。また、アイラインやマスカラなど、金属成分を含む化粧品を使用されている場合は、検査前に必ず落としていただく必要があります。お化粧を落とす必要がある方のために、パウダールームも完備していますので、ご利用を希望される方はお気軽にスタッフにお声がけください。
そのほか、ご不明点やご不安なことがございましたら、遠慮なくスタッフにお尋ねください。
脳動脈瘤・脳梗塞・脳出血 等
脳動脈瘤・脳梗塞・脳出血・頸動脈狭窄 等
脳動脈瘤・脳梗塞・脳出血・頸動脈狭窄・様々なタイプの認知症・睡眠不足・ストレス障害・脳を徹底的に調べたい方。
全脳の萎縮度や白質病変の体積を測定し、ご自身の脳の『将来のリスク』をお伝えします。
脳ドックガイドライン推奨の撮影に加え、さらに2項目を追加した精密検査になります。
| 頭部MRA | 脳血管の狭窄・動脈瘤などに有用 |
|---|---|
| 拡散強調画像 | 急性期の脳梗塞などに有用 |
| T2強調画像(横断面) | 急性期の病変や拾い出しに有用 |
| FLAIR | 脳溝や脳室に接する病変の診断に有用 |
| T1強調画像 | 脳の損傷の部位を把握するのに有用 |
| T2*強調画像 | 微小出血などに有用 |
| T2強調画像(矢状断面) | 下垂体病変などに有用 |
| 頸部MRA | 頸動脈狭窄などに有用 |
|---|---|
| 脳健康度AI解析 | 様々なタイプの認知症の早期発見や、将来の脳梗塞のリスクの発見に有用 |
・人間ドックは、基本的に自費(保険適用外)での受診となります。詳しい費用に関しては医療機関へご確認ください。
・MRI装置による検診を受ける場合は、脳動脈クリップ、体内金属、インプラントを埋入している方は検診を受けられない可能性があります。詳しくは医師へご確認ください。
・妊娠している可能性のある方、または妊娠中で14週未満の方、閉所恐怖症などで狭いところに入れない方、長時間同じ姿勢が保てない方、お体が大きくMRIの中に入れない方などは、検査を受けられません。
・必ずしも疾患を発見・診断できるとは限りません。
・検査の受診経緯・目的・コース・オプションなどによって、保険診療になるか自費診療(保険適用外)になるか異なります。自費診療になる場合は、保険診療よりも高額になります。
・受診される方に関する磁気共鳴信号をコンピューター処理し、再構成画像を作製する装置です。
・体内に、心臓ペースメーカー、ICD(植え込み型除細動器)、人工内耳、脳脊髄刺激電極、磁石式人工肛門、取り外せないタイプの入れ歯、可変圧バルブシャントチューブなどの金属がある方は、検査を受けられません。
・体内に、脳動脈クリップ、体内クリップ、ステント、コイル、人工関節、インプラントなどがある方も、検査を受けられないことがあります。ただし、材質がチタン・プラチナ製のものは検査可能ですので、挿入部位、時期、素材をお伝えください。
・妊娠している可能性のある方、または妊娠中で14週未満の方、閉所恐怖症などで狭いところに入れない方、長時間同じ姿勢が保てない方、お体が大きくMRIの中に入れない方などは、検査を受けられません。
・必ずしも疾患を発見・診断できるとは限りません。
・検査の受診経緯・目的・コース・オプションなどによって、保険診療になるか自費診療(保険適用外)になるか異なります。自費診療になる場合は、保険診療よりも高額になります。
・脳動脈クリップ、体内金属、インプラントを埋入している方は検診を受けられない可能性があります。詳しくは医師へご確認ください。
・妊娠している可能性のある方、または妊娠中で14週未満の方、閉所恐怖症などで狭いところに入れない方、長時間同じ姿勢が保てない方、お体が大きくMRIの中に入れない方などは、検査を受けられません。
・必ずしも疾患を発見・診断できるとは限りません。
・脳ドックでのオプションとなり、自費診療のため、保険診療より高額になります。詳しくは医療機関へご確認ください。また、単体での検診も行なえません。
・MRI装置での検査になるため、脳動脈クリップ、体内金属、インプラントを埋入している方は検診を受けられない可能性があります。詳しくは医師へご確認ください。
・妊娠している可能性のある方、または妊娠中で14週未満の方、閉所恐怖症などで狭いところに入れない方、長時間同じ姿勢が保てない方、お体が大きくMRIの中に入れない方などは、検査を受けられません。
・認知症を発見・診断する検査ではありません。認知症の所見が見られる場合は専門の医療機関への受診をおすすめしています。