- 過去に膵のう胞を指摘されたことがある方
- 超音波検査で膵臓描出不良が続く方
- 糖尿病の方
- 肥満の方
- 血縁者に膵臓がんになった人がいる方
- 喫煙者の方
- 膵炎になったことがある方
- アルコールをたくさん飲む方
上記複数項目に該当する場合は、積極的に検査を受けることをおすすめします。
検診コースについて|新宿三丁目の脳ドック・乳がん検診 Seeds Clinic新宿三丁目


Seeds Clinic新宿三丁目では、高い磁場で撮影することでより鮮明な画像を描出(びょうしゅつ)できるMRIを導入しています。MRIはもともと造影剤を使用しなくとも血管を撮影できる機器ですが、3.0テスラでは細い血管まで高精細に描出できる性能をもっています。これにより、小さくてわかりにくい脳血管の病変も発見できる可能性を高めます。
脳ドック(脳検診)
当クリニックの乳がん検診は検査着を着たまま、ベッドにうつ伏せの状態で撮影する撮影する乳房DWIBS(ドゥイブス)で負担の少ない検査を実施しています。
従来のマンモグラフィー検査では乳房を圧迫して撮影するため、痛みをともなったり乳腺で病変が見えなかったりしますが、撮影する乳房DWIBS(ドゥイブス)では鮮明に描出し、高精細な検査を可能にします。
上腹部MRI検診は、肝臓、膵臓、胆のう、腎臓などの上腹部臓器における腫瘍や嚢胞、脂肪肝、胆石などの有無や状態を、放射線被ばくなく高精細な画像で詳しく調べることができます。特にMRCP(磁気共鳴胆管膵管撮影)を併用することで、胆管や膵管の構造を非侵襲的に描出し、膵臓がんや胆管がんなどの早期発見、および胆石症や膵炎などの病変のスクリーニングに役立つ検査です。
上記複数項目に該当する場合は、積極的に検査を受けることをおすすめします。

膵臓がんは膵臓にできる悪性腫瘍のことで、国内では年間約30,000人以上の方が膵臓がんで亡くなっています。膵臓はとても小さい臓器のためがんの浸潤(しんじゅん)が早く、血管やリンパ管などに入って遠隔転移しやすい特徴があります。しかしステージ1や2の早期で見つかり、切除された膵臓がんの5年生存率は、そのほかの場合と比べて良好です。

膵臓は胃の後ろにある長さ15cm程度の小さな臓器で、食べ物の消化と血糖値の調節を行なっています。膵臓の内部を通る膵管から膵液が流れ、十二指腸へ運ばれることで食べ物の消化を助けます。また、膵臓からインスリンやグルカゴンなどのホルモンを産生しており、このホルモンが血糖値を調整しています。

膵臓がんは、発見された時にはすでに手遅れであることも多く、症例数に対しての死亡数(死亡率)が極めて高いことで有名です。「沈黙の臓器」とよばれるほど症状がでないことから、早期発見が難しいがんの1つとされています。そのため、部位別ごとに分けると膵臓がんによる死亡率は4位と上位に位置し、近年増加傾向にあります。

膵臓がんの診断方法は血液検査をはじめ、いくつかありますが、そのなかの1つがMRI検査です。特に、造影剤を用いなくても膵管などを描出するMRCPは、MRI検査の際に同時に行なうことができます。 また、MRCPは近年増加傾向にある膵のう胞性腫瘍の描出にも優れており、膵臓のスクリーニングが可能です。
| MRCP検査 の特徴 |
|
|---|---|
| MRCP検査 の注意点 |
|
・脳動脈瘤クリップの一部には、MRI検査ができないものもあります。
・カラーコンタクト、補聴器、入れ歯、ウィッグなどは取り外していただきます。
・心臓ペースメーカーの入っている方、妊娠中(またはその可能性がある)の方は検査をお受けいただけません。
・バリウム検査を行なった方は、できれば3日以上空けてのご予約をお願いいたします。
・不明な点などございましたらスタッフにお声がけください。

肺の気管や気管支、肺胞などの正常な細胞が何かしらの原因でがん化することで発症します。喫煙習慣のある人では、吸わない人と比較して5倍もかかりやすいといわれています。しかし、たばこを吸わない人でも肺がんになる可能性はあります。肺がんの主な症状は風邪や気管支炎などの一般的な呼吸器症状と同じで、咳や痰・発熱、胸の痛み、息苦しさなどで、特徴的な症状はありません。
また、肺がんのできた場所によってはまったく症状がでない場合もあります。2018年の部位別癌死亡数で、男性では1位、女性では2位になるほど死亡数が多いがんでもあります。その理由として、自覚症状が現れにくく気がつきにくいことや、ほかのがんと比べて進行が早く転移しやすいことなどが挙げられます。また、肺がんの死亡者は50代から増加傾向にあります。

がんを早期に発見することで治療の際の体への負担も小さく、再発の危険を低減できます。
そのためにも、がん検診を受けて早期発見していきましょう。
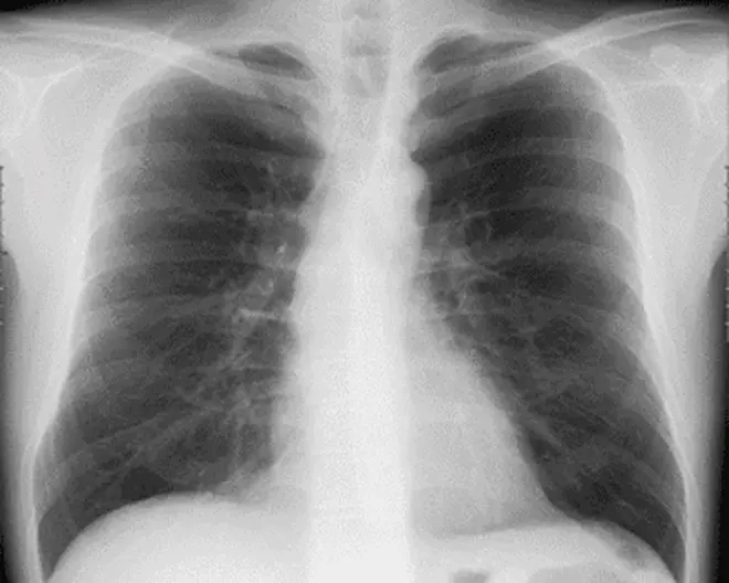
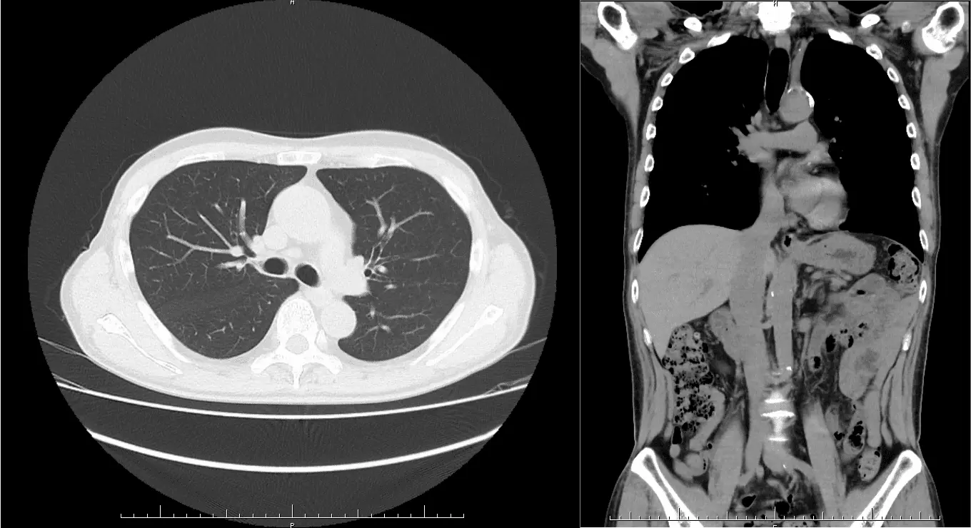
Seeds Clinic新宿三丁目では、CT装置を使った超低被ばく肺がん検診を実施しています。一般的な肺がん検診で行なわれる胸部X線検査(胸部レントゲン)では、骨との重なりで病気がわかりにくかったり、影が薄く小さいと見えにくいことがあります。CT検査ではこのような影が薄かったり、小さいタイプのがんでも見つけることができます。

レントゲン画像では影はほとんど見えませんが、CTでははっきりと映っているのがわかります。また、レントゲンでは心臓や横隔膜に隠れている場所もCTではしっかり見ることができます。胸部X線検査ではX線を使っての撮影となりますので、被ばくがあります。人間ドックなどで胸部X線撮影を正面と側面の2方向撮影をすると、約0.15mSv(シーベルト)の被ばくになります。日本での宇宙や大地、食物や空気中に存在する天然の放射性物質からの自然放射線による被ばくは1年間で約2.1mSvです。低被ばくでありながら、精度の高い検査が可能です。

最新技術のFIRSTと人工知能(AI)技術を用いたAiCEを用いて、従来の検査よりも被ばく低減を可能としました。
さらに、画像のノイズを低減させつつ、画質の向上も実現させています。この技術を利用することで、レントゲンとほぼ同等の線量で超低被ばくの胸部CT検診が可能になりました。
息止めの必要な検査ではありますが、1回の息止めが3秒程で撮影が終わります。そのため、検査時間も短く、体への負担が少ない検査です。

FIRSTとは、Forward projected model-based Iterative Reconstruction Solu Tionの略で、従来のCTの画像再構成(FBP:Filterd Back Projection)に比べ、低線量で高画質な画像を出すことが可能となった、新たな画像再構成です。
各種モデルを用いて被ばく低減、ならびに画質向上を図ります。

AiCEとは、Advanced intelligent Clear-IQ Engineの略で、人工知能(AI:Artificial Intelligence)技術の1つである機械学習と深層学習(Deep learning)を用いて設定した新たな画像再構成技術です。機械学習はAIを実現するためのアプローチで、AIに学習要素を取り入れたものです。Deep learningは機械学習の手法の1つであり、より人間の脳に近い知能を再現でき、ときには人間の知能を超えることもあります。AIを支える手法として最も注目を浴びています。


従来の処理では同じくらいの被ばくでの診断が困難

最新技術によって同じくらいの被ばくで撮影可能。被ばく量は0.2mSv
当クリニックの胸腹部CT検査では、肺や腹部臓器(肝臓、膵臓、胆のう、腎臓など)を高精度にチェックできます。この検査により、早期の肺疾患や消化器系の病気をいち早く発見し、早期治療のきっかけを掴むことが可能です。
さらに、この検査の大きな特徴は、体幹部の筋肉(脊柱起立筋、腸腰筋、腹筋、側筋)や脂肪の量も詳細に測定できる点です。CT画像を解析することで、内臓脂肪や皮下脂肪の面積、筋肉量を測定し、内臓脂肪型肥満の判定や生活習慣病リスクの評価を行ないます。
特に、筋肉量・脂肪量を測定することは、フレイル(加齢による心身の虚弱状態)の早期発見に繋がり、対策をとってフレイルを予防したり進行を遅らせたりするうえで非常に有用です。
320列CT装置を用いたこの検査は、肺がん・肺炎・肺結核や腹部臓器に不安がある方、そしてフレイルや筋肉の衰えに不安を感じている方におすすめの検査です。


「フレイル」とは、単に年をとることではなく、加齢にともなって心身が脆弱になり、体・認知・心理・社会的な機能が落ちてしまった状態を指します。これは、私たちの健康寿命を奪う、現在最も重要な問題の1つです。
なぜなら、日本の主な介護要因を見ると、じつに約6割がフレイルが要因となっており、『日本人の健康寿命を奪っている最大の要因は「フレイル化」』であるといえるからです。
年齢とともに筋肉量が減り、次第に動けなくなり、疲れやすくなることで社会参加が減り、心身のバランスを崩してしまう―このような「目に見えにくい衰え」が、私たちの自立した生活を少しずつおびやかしています。
しかし、フレイルは放っておけば進行するものの、早めに気づき、対策をとれば防ぐ、あるいは遅らせることができることがわかっています。そのため、「自分の体の現状を知り、どう対策していくか」ということを考え行動することは、未来のあなた自身への重要な投資となるのです。
| 筋肉群 | 主な役割 | 健康への貢献 | 衰えると… |
|---|---|---|---|
| 腹筋群 | 体幹の前面を支える、腹圧の調整 | 腰痛予防、内臓の位置保持 | 体幹が不安定になる、腰痛、内臓の下垂(ポッコリお腹) |
| 側筋群 | 体幹の横曲げやねじりを制御 | バランス能力の向上、転倒防止 | 動作のバランス崩壊、腰痛の悪化 |
| 脊柱起立筋 | 正しい姿勢の維持、体幹の安定 | 姿勢維持、転倒予防 | 猫背(円背)、腰痛、転倒リスクの増加 |
| 腸腰筋 | 股関節を曲げる(足を前に持ち上げる) | 歩行速度・安定性の維持 | つまずきやすくなる、要介護リスクの増加 |
・肺がん、肺炎、結核など
・肝臓がん、膵臓がん、胆石、胆のう炎、膵炎、腎結石など
・体幹部の筋肉(脊柱起立筋、腸腰筋、腹筋、側筋)・脂肪の量
体幹部の筋肉・脂肪量の測定は特殊なソフト(MVision body)を用いて、CT画像を元に測定します。 ※筋肉量の測定は脊柱起立筋、腸腰筋、腹筋、側筋の4種類。
また、同年代との比較や受診者様に合わせた、フレイルにならないための最適トレーニングをご紹介させていただきます。

現在、体形管理には身長と体重から計算されるBMIが用いられています。しかし、同じBMIでも私たちの体形はさまざまです。MVision bodyは胸部と腹部の実際の体積を測定し、その比率を元にシェイプを数値化して変化を数字で追跡します。

脂肪組織は大切な臓器の1つです。健康な生活のためには多すぎても少なすぎてもリスクであり、特に内臓脂肪と皮下脂肪の比率は重要です。
MVision bodyは従来の体組成計やCTによる腹部横断面の測定では見られなかった、腹部全体の脂肪分布を三次元で可視化します。
また、体の基本をつくる体幹筋肉は外からは客観視できません。MVision bodyは体積と脂肪含有量を直接測定し、受診者様の筋肉状態を示します!

CTは受診者様の体をデジタルコピーし、そこから得られる体形・脂肪・筋肉の情報をもとに、125にわたるパターンごとに生活の指針とトレーニングメニューをご提供します。
誰にでもできる初級編からチャレンジングな上級編を通して、未来をつくるお手伝いをします。
MRIを使って行なうDWIBS(ドゥイブス)法という撮影方法で、細胞密度の違いに着目し、正常な細胞の密度と悪性腫瘍などの密度の違いを抽出して悪性腫瘍を検索する検査です。放射線を使わないため被ばくがなく痛みもほとんどない、検査時間も30分程度と短いため、心身の負担を軽減しながら全身をチェックできます。被ばくの心配や造影剤の使用に心配がある方、痛みの少ない方法が良い方、一度に全身のがんの有無を調べたい方におすすめの検査です。


画像のようにがんが疑われる部分が黒く強調されます。
(※画像はイメージ画像になります)
これらの画像を基に画像診断専門の医師が結果を作成します。
がんが疑われる結果の場合は、当クリニックで精密検査を受けていただくか、治療可能な医療機関へご紹介いたします。
従来のMRI検査とDWIBS (ドゥイブス)の大きな違いは撮影範囲にあります。頭部や胸部など部分的に検査を行なうのが従来の検査であり、より高性能なMRI装置と高度な描出により広範囲でのがんの検査を可能としたのがDWIBSです。また、同様に全身のがん検査を行なうPET-CTは被ばくの有無、造影剤の使用、検査後の処置などの違いがあります。
| 診療内容 | MRI(DWIBS) | PET-CT |
|---|---|---|
| 注射 | なし | 薬剤を静脈注射 |
| 食事制限 | 検査前4時間前禁飲食 | 検査前6時間前禁飲食 (水・お茶のみ可) |
| 撮影時の被ばく | なし | 注射薬剤と撮影時 |
| 検査時間 | 約30分 | 検査前後の処置含め約3時間 (撮影時間は約20分ほど) |
| 検査後処置 | なし | 注射後2時間は院内待機 |
| その他 | 体内金属などがあると検査不可 | 糖尿病疾患は検査不可の場合有 |
どちらも全身のがん検査が目的のため、この質問をいただくことがとても多くあります。
目的は同じですが、がんを検出する方法が違います。がんの種類も多岐にわたり、全身DWIBS検査・PET-CT検査のどちらにも得意とするがんの種類があるため、双方向に補える部分があると言えます。
全身の検査は一度に広範囲の検査が可能ですが、部位を絞って検査をすることにより、精度の高い検査を可能とします。
特定の部位が気になる方は、ご予約前にご相談ください。
DWIBS検査は比較的新しい撮像方法であり、画像を確認する医師にはより高度な知識が必要になります。当クリニックでは、新しい技術にも柔軟に対応し、より高度な検査を可能にするために日本医学放射線学会認定放射線診断専門医が、撮影された画像をチェックしています。きちんと撮影できているのか、ノイズが混じって病変を分かりにくくしていないか、画像からどのような病気なのか確認したうえで結果をお知らせいたします。
料金表はこちら
最近、膝に痛みや違和感を覚えることはありませんか?
膝は体を支え、常に負荷がかかっている部位でもあるため、痛みが出やすい場所になります。
痛みの程度は、少し重く感じる軽いものから、歩く時や階段の上り下りに痛んで生活に支障が出てくるものまでさまざまあります。

膝関節は大腿骨(太ももの骨)と脛骨(すねの骨)、腓骨(脛骨の外側にあるすねの骨)、膝蓋骨(膝のお皿)から構成されています。これらの骨を靱帯や筋肉、腱で繋いでおり、それらによって安定性を保っています。

膝関節の病気には次のようなものがあります。
・変形性膝関節症
・関節リウマチ
・半月板損傷
・靱帯損傷
・軟骨損傷
など
加齢や筋肉量の低下により、膝のクッションである軟骨が少しずつすり減ることで痛みが出る方が多くいらっしゃいます。膝の軟骨は一度すり減ると再生しないため、早い段階で発見し対処することが大切です。
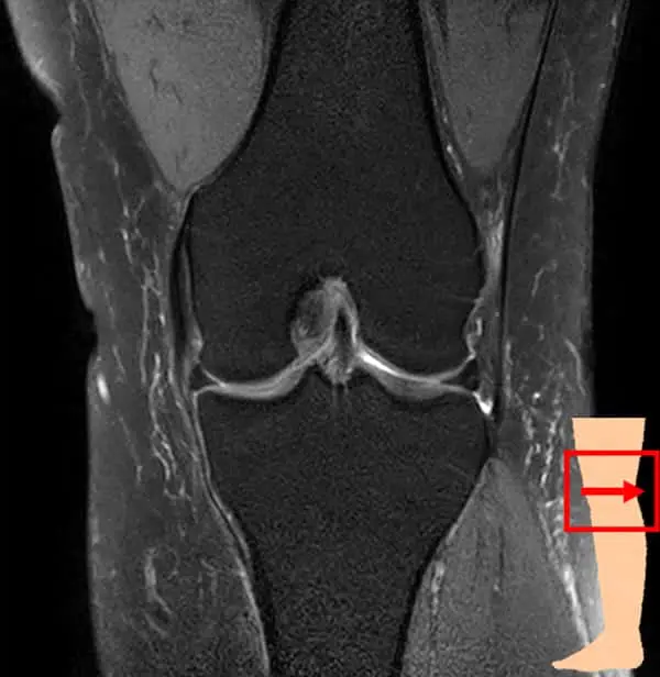
膝関節の検査では、レントゲンの検査が一般的ですが、当クリニックではMRIを使用した検査を行なっています。
レントゲンよりも骨の内部や軟骨、半月板・靱帯の状態を把握できます。また、炎症や水が溜まっているかなどの確認も可能です。レントゲンとは違い、放射線被ばくもなく検査ができますので、体への負担が気になる方にもおすすめです。




検査で異常が指摘される際には、専門の医療機関へのご紹介もさせていただきます。
ぜひこの機会に膝の状態を調べてみるのはいかがでしょうか。
・脳動脈瘤クリップの一部には、MRI検査ができないものがあります。
・カラーコンタクト、補聴器、入れ歯、ウィッグなどは取り外していただきます。
・心臓ペースメーカーの入っている方、妊娠中(またはその可能性がある)の方は検査をお受けいただけません。
・不明な点などございましたらスタッフにお声がけください。
・検査の受診経緯・目的・コース・オプションなどによって、保険診療になるか自費診療(保険適用外)になるか異なります。自費診療になる場合は、保険診療よりも高額になります。
・受診される方に関する磁気共鳴信号をコンピューター処理し、再構成画像を作製する装置です。
・体内に、心臓ペースメーカー、ICD(植え込み型除細動器)、人工内耳、脳脊髄刺激電極、磁石式人工肛門、取り外せないタイプの入れ歯、可変圧バルブシャントチューブなどの金属がある方は、検査を受けられません。
・体内に、脳動脈クリップ、体内クリップ、ステント、コイル、人工関節、インプラントなどがある方も、検査を受けられないことがあります。ただし、材質がチタン・プラチナ製のものは検査可能ですので、挿入部位、時期、素材をお伝えください。
・妊娠している可能性のある方、または妊娠中で14週未満の方、閉所恐怖症などで狭いところに入れない方、長時間同じ姿勢が保てない方、お体が大きくMRIの中に入れない方などは、検査を受けられません。
・必ずしも疾患を発見・診断できるとは限りません。
・肺がん検診は市区町村が実施している対策型がん検診のひとつで、受診の際は検診費用の補助があります。人間ドックなどの任意型がん検診で受診した場合は、原則として自己負担となります。詳しくは医療機関へご確認ください
・通常の検査では胸部X線検査、喀痰(かくたん)細胞診を行ないます。胸部X線検査では放射線を用いた検査のため軽度な被ばくをともないます。また、喀痰細胞診では、検査の3日前から起床時の痰を採取する必要があります。
・精密検査、人間ドックの検診では胸部CT検査、気管支鏡検査のいずれか、または両方を行ない、胸部CT線検査では放射線を用いた検査のため軽度な被ばくをともないます。気管支鏡検査では、口または鼻から気管支を挿入するため、痛みをともなうことがあります。
・必ずしも疾患を発見・診断できるとは限りません。
・コンピューターを駆使してデータ処理と画像の再構成を行ない、断層写真を得る機器となります。
・治療内容によっては保険診療となることもありますが、基本的には自費(保険適用外)での診療となり、保険診療よりも高額になります。詳細は医師にご確認ください。
・検査中はできるだけ体を動かさないようにする必要があります。
・人体に影響しない程度の、ごくわずかな被ばくがあります。
・ペースメーカーを使われている方、体内に取り外せない金属類がある方、妊娠中または妊娠の可能性のある方は検査を受けられないことがあります。
・基本的に、自費(保険適用外)での受診となります。詳しい費用に関しては医療機関へご確認ください。
・MRI装置を用いた検査になるため、心臓ペースメーカー、ICD(植え込み型除細動器)、人工内耳、脳脊髄刺激電極、磁石式人工肛門、取り外せないタイプの入れ歯、可変圧バルブシャントチューブなどの金属がある方は、検査を受けられません。
・MRI装置による検診を受ける場合は、脳動脈クリップ、体内金属、インプラントを埋入している方は検診を受けられない可能性があります。詳しくは医師へご確認ください。
妊娠している可能性のある方、または妊娠中で14週未満の方、閉所恐怖症などで狭いところに入れない方、長時間同じ姿勢が保てない方、お体が大きくMRIの中に入れない方などは、検査を受けられません。
・強い磁場の影響で、人によってはめまいなどの不快感が生じる場合があります。
・検査を中断した場合、充分な画像を描出できない可能性があります。
・必ずしも疾患を発見・診断できるとは限りません。
・基本的に、自費(保険適用外)での受診となります。詳しい費用に関しては医療機関へご確認ください。
・大きな入れ墨のある方、取り外せない補聴器をしている、インプラントや心臓ペースメーカー、ICD除細動器などが埋め込まれている方は検査を受けられないことがあります。詳しくは医師へご確認ください。
・MRI装置による検診を受ける場合、脳動脈クリップ、体内金属、インプラントを埋入している方は検診を受けられない可能性があります。詳しくは医師へご確認ください。
・妊娠している可能性のある方、または妊娠中で14週未満の方、閉所恐怖症などで狭いところに入れない方、長時間同じ姿勢が保てない方、お体が大きくMRIの中に入れない方などは、検査を受けられません。
・必ずしも疾患を発見・診断できるとは限りません。
・基本的に、自費(保険適用外)での受診となります。詳しい費用に関しては医療機関へご確認ください。
・MRI装置による検診を受ける場合、脳動脈クリップ、体内金属、インプラントを埋入している方は検診を受けられない可能性があります。詳しくは医師へご確認ください。
・カラーコンタクト、補聴器、入れ歯、ウィッグを着用したままの場合、詳細な画像を描出できない可能性ややけどの危険性があります。必ず事前に申告し、外すようにしてください。
・心臓ペースメーカーの入っている方、妊娠中(またはその可能性がある)の方は検査を受けられません。
・必ずしも疾患を発見・診断できるとは限りません。
・コンピューターを駆使してデータ処理と画像の再構成を行ない、断層写真を得る機器となります。
・治療内容によっては保険診療となることもありますが、基本的には自費(保険適用外)での診療となり、保険診療よりも高額になります。詳細は医師にご確認ください。
・検査中はできるだけ体を動かさないようにする必要があります。
・人体に影響しない程度の、ごくわずかな被ばくがあります。
・ペースメーカーを使われている方、体内に取り外せない金属類がある方、妊娠中または妊娠の可能性のある方は検査を受けられないことがあります。
・検査の受診経緯・目的・コース・オプションなどによって、保険診療になるか自費診療(保険適用外)になるか異なります。自費診療になる場合は、保険診療よりも高額になります。
・受診される方に関する磁気共鳴信号をコンピューター処理し、再構成画像を作製する装置です。
・体内に、心臓ペースメーカー、ICD(植え込み型除細動器)、人工内耳、脳脊髄刺激電極、磁石式人工肛門、取り外せないタイプの入れ歯、可変圧バルブシャントチューブなどの金属がある方は、検査を受けられません。
・MRI装置による検診を受ける場合、脳動脈クリップ、体内金属、インプラントを埋入している方は検診を受けられない可能性があります。詳しくは医師へご確認ください。
・妊娠している可能性のある方、または妊娠中で14週未満の方、閉所恐怖症などで狭いところに入れない方、長時間同じ姿勢が保てない方、お体が大きくMRIの中に入れない方などは、検査を受けられません。
・必ずしも疾患を発見・診断できるとは限りません。
・検査の受診経緯・目的・コース・オプションなどによって、保険診療になるか自費診療(保険適用外)になるか異なります。自費診療になる場合は、保険診療よりも高額になります。
・MRI装置による検診を受ける場合、脳動脈クリップ、体内金属、インプラントを埋入している方は検診を受けられない可能性があります。詳しくは医師へご確認ください。
・妊娠している可能性のある方、または妊娠中で14週未満の方、閉所恐怖症などで狭いところに入れない方、長時間同じ姿勢が保てない方、お体が大きくMRIの中に入れない方などは、検査を受けられません。
・必ずしも疾患を発見・診断できるとは限りません。
「公益社団法人 日本医学放射線学会」は、放射線科全般に及ぶ知識と経験を一定レベル以上有すると認められる医師に対して、「放射線診断専門医」の資格を与えています。
◦「日本医学放射線学会認定放射線診断専門医」資格取得の条件
・日本国の医師免許を有している。
・申請時において放射線科専門医であり、放射線科専門医資格取得後2年以上の臨床経験を有している。
・申請時において、5年以上同学会正会員である。
・定められた研修期間、研修内容、研修施設等の条件を満たしている。
など
◦「日本医学放射線学会認定放射線診断専門医」資格保持の条件
・5年ごとに更新を行なう。
など
詳しくは、「公益社団法人 日本医学放射線学会 放射線診断専門医制度 規程」をご覧ください。