電話受付
開院時間
9:00-21:00(土日祝18:00)
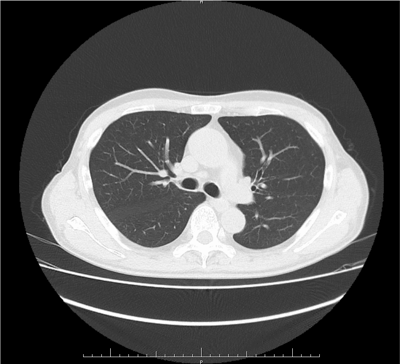
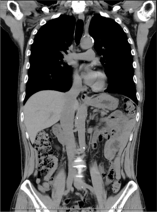
胸腹部CT + 体幹部筋肉・脂肪測定
胸腹部CTで肺や腹部臓器の病気、フレイルの早期発見をサポート
胸腹部CT検査では、肺や腹部臓器を高精度にチェックできます。早期の肺疾患や消化器系の病気(肝臓、膵臓、胆嚢、腎臓など)を発見することができ、早期治療のきっかけになります。
また体幹部の筋肉(脊柱起立筋、腸腰筋、腹筋、側筋)・脂肪の量を測定することで、フレイル(※)に早めに気づき、対策をとって防ぐ、あるいは遅らせることができます。
「自分の身体の現状を知り、どう対策をしていくか」
ということを考え行動することが、未来のあなた自身への投資となるのです。
※フレイル
フレイルとは、加齢に伴って心身が脆弱になってしまい、身体・認知・心理・社会的機能が落ちてしまった状態をさします。主な介護要因を見ると実に約6割がフレイルが要因となっており、日本人の健康寿命を奪っている最大の要因は「フレイル化」であると言えます。
年齢とともに筋肉量が減り、動けなくなり、疲れやすくなり、社会参加が減り、心身のバランスを崩している、この「目に見えにくい衰え」が、私たちの自立した生活を脅かしているのです。

胸腹部CTのメリット
- 肺疾患の早期発見:
肺癌や慢性閉塞性肺疾患(COPD)、肺気腫など、早期の段階では自覚症状が少ない病気を発見できます。 - 主要な血管の異常をチェック:
血管の石灰化の有無を観察することで、脳血管疾患や心疾患などのリスクを事前に察知することが可能です。 - 腹部臓器の異常を検出:
肝臓、膵臓、胆嚢、腎臓などの病気(腫瘍や炎症など)を見つけ出すことができます。 - 非侵襲的で簡単:
痛みや負担が少ない検査で、短時間で体内の詳細な画像が得られます。
こんな症状の方におすすめ
- 咳が長引いている
- 胸部に不安がある
- 腹部の違和感や膨満感がある
- 最近、体重や体調の急激な変化を感じる


体幹部筋肉・脂肪測定に関して
体幹部の筋肉・脂肪量の測定は特殊なソフト(MVision body)を用いて、CT画像を元に測定しています。
※筋肉量の測定は脊柱起立筋、腸腰筋、腹筋、側筋の4種類
また、同年代との比較や、受診者様に合わせたフレイルにならないための最適トレーニングをご紹介させていただきます。
MVision bodyとは
01
CT撮影画像を用いて
受診者の体形を分類します。
現在、体形管理には身長と体重から計算されるBMIが用いられています。しかし、同じBMIでも私たちの体形は様々です。MVision bodyは胸部と腹部の実際の体積を測定し、その比率を元にシェイプを数値化し変化を数字で追跡します。

02
同年代と比較した
脂肪量と筋肉量を可視化します
脂肪組織は大切な臓器の一つです。健康な生活のためには多すぎても少なすぎてもリスクであり、特に内臓脂肪と皮下脂肪の比率は重要です。
MVision bodyは従来の体組成計やCTによる腹部横断面の測定では見られなかった、腹部全体の脂肪分布を三次元でで可視化します。
また、体の基本を創る体幹筋肉は外からは客観視できません。MVision bodyは体積と脂肪含有量を直接測定し、受診者の筋肉状態を示します!

03
計測したデータから
受診者に合わせた最適なトレーニングを提供します
CTは受診者のデジタルコピー。そこから得られる体形・脂肪・筋肉の情報をもとに、125にわたるパターン毎に生活の指針とトレーニングメニューを提供。
誰にでもできる初級編からチャレンジングな上級編を通して、未来を創るお手伝いをします。

レポート例
- バリウム検査を行った方は、できれば3日以上空けてご予約をお願いします。
- その他、不明な点などございましたらスタッフにお声掛けください。